
Changement de prothèse totale de hanche
Catégorie:
Pathologies de la hanche
Qu'est ce qu'un descellement ?
La mise en place d’une prothèse de hanche est généralement réalisée suite à une usure arthrosique de cette articulation ou suite à une fracture. Malheureusement les contraintes mécaniques sur cette prothèse entraînent des phénomènes d’usure au bout de nombreuses années. Si la prothèse devient douloureuse, un descellement peut être suspecté qui conduira logiquement à un changement d’une ou plusieurs pièces de la prothèse.
Le descellement survient généralement suite au vieillissement et à l’usure de la prothèse . Le contact entre l’os et les implants n’est alors plus parfait rendant l’appui et les mouvements douloureux en raison de cette mauvaise fixation. Parfois ce descellement peut être dû à une infection bactérienne.
Plus la prothèse est mobile , plus elle abîme l’os sensé la fixer. Progressivement les phénomènes douloureux augmentent entraînant boiterie et réduction du périmètre de marche.
L’intervention devient alors obligatoire.
Pourquoi une opération ?
En l’absence de traitement, les choses ne s’arrangent pas spontanément, bien au contraire, les dégâts osseux se majorent surtout si le descellement est d’origine infectieuse. Parfois les mobilités sont telles qu’un déplacement prothétique ou une fracture osseuse peuvent se voir.
L’intervention précoce évite donc la majoration des lésions.
C’est généralement une intervention plus lourde que la mise en place de votre prothèse initiale. Elle consiste en l’ablation de la prothèse usée ou infectée et à son remplacement par une autre prothèse pouvant se fixer correctement sur l’os abîmé. Ce remplacement peut se faire d’emblée ou secondairement s’il s’agit d’une infection.
Les différents types de descellement sont très variables et peuvent toucher le fémur et/ou le cotyle. C’est pourquoi les interventions de reprise sont toutes différentes, mais généralement la taille de la prothèse mise en place sera supérieure à votre ancienne prothèse.
Il arrive également qu’une seule partie de la prothèse soit changée en fonction de l’usure de celle-ci.
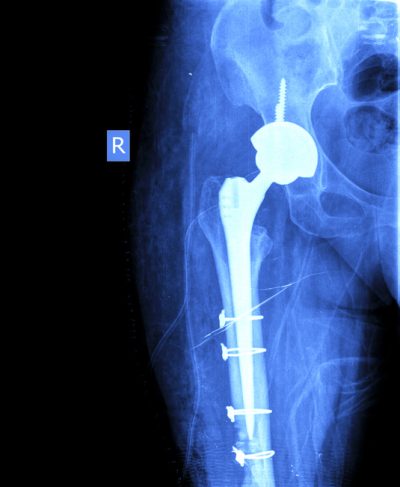
Certains gestes complémentaires sont parfois nécessaires pour enlever la prothèse et fixer correctement la suivante comme une ostéotomie fémorale d’exposition, l’apport de greffons osseux ou la pratique d’une ostéosynthèse par plaque, vis ou cerclage. ( voir radiographies ci-dessous).
Les suites opératoires
La douleur est généralement bien contrôlée, toutefois il est possible d’avoir quelques phénomènes algiques lors du premier lever qui interviendra dès le lendemain de l’intervention. N’hésitez pas à en faire part à l’équipe soignante ou à votre chirurgien.
La marche peut être reprise dès le lendemain de l’intervention mais généralement on préfère attendre 48 heures. Elle sera travaillée avec le kinésithérapeute. Il vous enseignera les gestes à éviter afin de ne pas trop solliciter votre prothèse.
La déambulation s’effectuera au début à l’aide d’un déambulateur ou avec 2 cannes Anglaises. Ces cannes sont à garder jusqu’à la première consultation de contrôle avec votre chirurgien (environ 3 semaines).
Des pansements sont à refaire tous les 2 à 3 jours durant une période de 3 semaines.
Un traitement préventif de la phlébite ainsi que sa surveillance sont impératifs jusqu’à la reprise de l’autonomie (6 semaines environ).
La sortie de la clinique se fait généralement à votre domicile mais peut également dans certains cas être envisagée en centre de convalescence.
La rééducation assidue et bien conduite de votre prothèse est garante d’un bon résultat. La tonification de vos muscles est primordiale pour une bonne stabilité de votre hanche.
Les risques et complications
Pendant l’intervention :
- Les vaisseaux sanguins et les nerfs qui passent à proximité de l’articulation peuvent être blessés accidentellement occasionnant alors des hémorragies ou des paralysies pouvant nécessiter des soins chirurgicaux particuliers, soit immédiats, soit différés.
- Les gestes osseux (fémur, cotyle) peuvent si la structure osseuse est fragile occasionner des fractures accidentelles. Celles-ci seront traitées dans le même temps opératoire ou en différé si la révélation de cette fragilité osseuse est tardive.
Après l’intervention :
- Un hématome peut survenir nécessitant un drainage chirurgical.
- Une infection de la zone opératoire qui nécessite, si elle est diagnostiquée précocement (première semaine) un traitement antibiotique adapté généralement par voie intraveineuse associé à un lavage articulaire . Par contre si elle est diagnostiquée plus tard, une réintervention chirurgicale avec ablation des implants est impérative. Un fantôme prothétique en ciment (spacer) est laissé en place durant plusieurs mois pour permettre le traitement et l’éradication de l’infection. La remise en place de nouveaux implants se fait une fois l’infection guérie. Cette nouvelle intervention à lieu généralement plusieurs mois après un long et difficile traitement par une association de plusieurs antibiotiques. Un suivi régulier est organisé dans le service de maladies infectieuses du CHU de Nice. Il est impératif et incontournable.
- La formation et la migration d’un caillot sanguin : Phlébite, embolie pulmonaire d’où la nécessité d’un traitement anticoagulant jusqu’à la reprise d’un appui complet (en général 1 mois).
- La luxation ou le déplacement des implants prothétiques mis en place pendant l’opération peut nécessiter une réduction sous anesthésie générale voire une nouvelle intervention chirurgicale avec éventuel changement d’une ou des pièces prothétiques.
- Une différence de longueur des membres inférieurs ne peut être évitée avec certitude. Elle nécessitera alors le port de semelles compensatrices.
- Des calcifications dans la capsule ou dans les muscles de voisinage peuvent être responsables d’une diminution de la mobilité post-opératoire.
Les risques énumérés ci-dessus ne constituent pas une liste exhaustive. Chaque cas est particulier et les complications post-opératoires peuvent être diverses et variées. Toutefois elles sont rares et en cas de problème il est impératif qu’un dialogue s’installe avec vos praticiens (chirurgien et anesthésiste) afin de trouver les solutions les plus rapides et adéquates pour régler ce contre temps.
Les résultats attendus
Il s’agit d’un remplacement de votre prothèse de hanche usée ou infectée ; les résultats en aucun cas ne peuvent être comparés avec une première intervention sur hanche « vierge ».
Une raideur ainsi que des douleurs trochantériennes, fessières ou inguinales peuvent perdurer durant plusieurs mois toutefois, les résultats sont généralement excellents par rapport au handicap occasionné par votre ancienne prothèse.
Votre autonomie pourra être retrouvée dans les meilleures conditions mais sous 3 réserves :
- Vous devez impérativement éviter les mouvements sollicitant votre prothèse en risquant de la luxer .
- Il est important de continuer à entretenir votre musculature fessière qui a tendance à s’affaiblir avec l’âge.
- Adaptez votre activité pour économiser votre hanche et aménagez votre habitation (pas de fauteuils profonds, poignées dans les toilettes et la salle de bain pour vous relever et vous soutenir, pas d’escaliers).
Enfin, le résultat est souvent corrélé avec le degré de l’atteinte osseuse. Généralement, l’appui complet est toujours possible au bout de 2 mois(souvent plus tôt) et une activité normale peut être reprise entre 2 et 4 mois.
En résumé...
- Nécessaire en cas d’usure, de mobilité des implants ou d’infection prothétique.
- Nécessite une stratégie pré-opératoire très élaborée pour une indication précise.
- L’intervention consiste à remplacer les implants défectueux.
- La chirurgie peut se faire en plusieurs étapes en cas d’infection.
- L’hospitalisation est de 5 jours en moyenne.
- Un séjour en centre de rééducation est toujours nécessaire.


